Parodontoza
Parodontologija je grana stomatologije koja se bavi liječenjem bolesti parodonta
Paradontologija dolazi od riječi paradont (područje hvata alveole, zuba i gingive). Posljednjih nekoliko godina se napretkom u tehnologiji napravio značajan korak u liječenju paradontoze. Ukoliko i sami imate problema sa paradontozom, a želite zadržati vlastite zube možemo problem ublažiti ili riješiti na nekoliko načina.
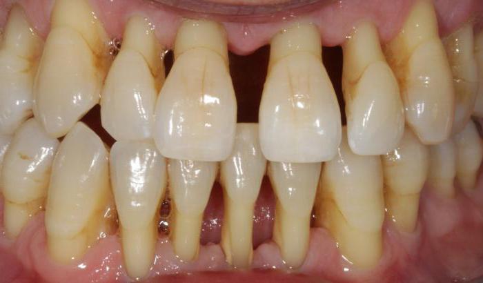
Parodontitis započinje upalom gingive, koja je crvena, bolna i krvari na dodir, a ukoliko se ne liječi, prelazi u parodontitis kad može doći i do ispadanja zuba. Parodontitis obuhvaća područja alveole, zubnog korijena i mekih tkiva koja ga okružuju.
Osnovni oblik liječenja je parodontna kiretaža ili kako je mi volimo zvati “kupovina vremena”. To je osnovni način pomoći na kratki rok odn. nekoliko godina, dok se kao dugotrajnije riješenje djeluje na uzročnik problema i može se odlično ukomponirati sa svim vrstama umjetne kosti i tkivno vođenom regeneracijom, laserom i terapijom ozonom.
Parodontološke operacije

Parodontološka kiretaža zuba
- Detaljna parodontološka kiretaža (dubinsko čišćenje paradonta po regiji/kvadrantu) 250€
- Detaljna parodontološka kiretaža (dubinsko čišćenje paradonta jedna čeljust) 500 €
- Detaljna parodontološka kiretaža (dubinsko čišćenje paradonta obje čeljusti-gornja i donja) 900 €

Parodontološka terapija specijalnim antibiotikom
- Paradontološka terapija specijalnim antibiotikom nakon parodontološke kiretaže, koji uništava anaerobne i aerobne bakterije prisutne ispod zubnog mesa (gingive)
- Antibiotik (doza za 1 čeljust) 350 €
- Antibiotik (doza za obje čeljusti- gornju i donju) 650 €

Operacija nadoknadom tekuće kosti
- Operacija nadoknadom tekuće kosti jedna četvtrina čeljusti (kvadrant) 2.900 €
- Operacija nadoknadom tekuće kosti jedna čeljust 5.400 € 1 ampula
- Operacija nadoknadom tekuće kosti za obje čeljusti (gornja i donja čeljust) 9.800 € 2 ampule
- Napomena, navedeni zahvati su potpuno bezbolni za vrijeme i nakon operacije.
Matične stanice kosti - za koštanu masu čeljusti

Matične stanice 2.0 ml
2,0 ml matičnih stanica kosti (kao 5-6g granulirane kosti – bone graft). Polovina čeljusti
- Citory (nediferencirane matične stanice separirane iz masnog tkiva)
- 8.000 €

Matične stanice 4.0 ml
4,0 ml matičnih stanica kosti (kao 10-12g granulirane kosti – bone graft). Za jednu čeljust
- Citory (nediferencirane matične stanice separirane iz masnog tkiva)
- 12.000 €

Matične stanice 8.0 ml
8,0 ml matičnih stanica kosti za augmentaciju. Dovoljno za obje čeljusti (gornja i donja)
- Citory (nediferencirane matične stanice separirane iz masnog tkiva)
- 22.000 €
MATIČNE STANICE
Nediferencirane matične stanice separirane iz pulpe zuba/leđne moždine
Nediferencirane matične stanice (matične stanice separirane iz pulpe zuba/leđne moždine), dioba i njihovo diferenciranje, Separacija i diferenciranje se vrši u klinici u Beču, Austrija.
Parodontologija – liječimo do nedavno neizlječivu bolest zuba
Parodontologija se veoma razvila – do nedavno se, u što računamo posljednjih 20-tak godina, parodontoza smatrala neizlječivom bolesti čime smo prihvaćali realnu činjenicu relativno brzog gubitka zubi i prijelaza na zubnu protezu. Novim metodama liječenja postigli smo izvrsne rezultate poput učvršćivanja zuba, ozdravljenja alveolarnog grebena i ozdravljenja zubnog mesa (gingive) uz adekvatnu higijenu i redovne posjete liječniku. Bez obzira o načinu tretmana (kirurški ili nekirurški) najbitniji čimbenik je vrijeme i rano javljanje pacijenta kako bi se odredila vrsta parodontne bolesti, napravio parodontološki status zuba i odredio tretman. Jedna od najbitnijih stvari kod održavanja paradontoze je higijena koja podrazumijeva ultrazvučno čišćenje kamenca, mekanu četkicu za higijenu i operativni zahvati za uklanjanje mikroorganizama i nekrotiziranog tkiva iz područja koje je zahvaćeno paradontozom. Ukoliko se odlučite na takav zahvat možemo Vam sa sigurnošću reći da će te zadržati vaše zube tamo gdje im je i mjesto, u čeljusti.
Parodontologija se veoma razvila – do nedavno se, u što računamo posljednjih 20-tak godina, parodontoza smatrala neizlječivom bolesti čime smo prihvaćali realnu činjenicu relativno brzog gubitka zubi i prijelaza na zubnu protezu. Novim metodama liječenja postigli smo izvrsne rezultate poput učvršćivanja zuba, ozdravljenja alveolarnog grebena i ozdravljenja zubnog mesa (gingive) uz adekvatnu higijenu i redovne posjete liječniku. Bez obzira o načinu tretmana (kirurški ili nekirurški) najbitniji čimbenik je vrijeme i rano javljanje pacijenta kako bi se odredila vrsta parodontne bolesti, napravio parodontološki status zuba i odredio tretman. Jedna od najbitnijih stvari kod održavanja paradontoze je higijena koja podrazumijeva ultrazvučno čišćenje kamenca, mekanu četkicu za higijenu i operativni zahvati za uklanjanje mikroorganizama i nekrotiziranog tkiva iz područja koje je zahvaćeno paradontozom. Ukoliko se odlučite na takav zahvat možemo Vam sa sigurnošću reći da će te zadržati vaše zube tamo gdje im je i mjesto, u čeljusti.
Operacija nadoknadom tekuće kosti - BONE GRAFT/BIO OSS/UMJETNA KOST
U slučaju potrebe radimo i nadoknade sa umjetnom kosti, poput augmentacije i osteoplastike (veće modelacije čeljusnih grebena). Operacije se rade pod lokalnom ili općom anestezijom ovisno o opsežnosti postupka. Problem nedostatka kosti susrećemo kod muškaraca i žena, a konstantno je prisutan i kod većine žena zbog osteoporoze, zatim kod paradontoze i kad je potrebno nadoknaditi manje dijelove kosti.
U slučaju potrebe radimo i nadoknade sa umjetnom kosti, poput augmentacije i osteoplastike (veće modelacije čeljusnih grebena). Operacije se rade pod lokalnom ili općom anestezijom ovisno o opsežnosti postupka. Problem nedostatka kosti susrećemo kod muškaraca i žena, a konstantno je prisutan i kod većine žena zbog osteoporoze, zatim kod paradontoze i kad je potrebno nadoknaditi manje dijelove kosti.
Sporo razgradivi hydroxyapatit koji daje volumen i mehaničku potporu augmentiranom mjestu i brzorazgradivi trikalcij-fosfat kao izvor mineralizacije nove kosti i zaslužan za sprečavanje urastanja vezivnog tkiva, omogućavaju zamjenu prirodnom kosti za 6-18 mjeseci.
Nakon uspješne nadoknade umjetnom kosti može se ugraditi implantat/-i, bolje fiksirati zub/-i kod npr.parodontoze, sinus lifting (podizanja sinusa), augmentacije postekstrakcijskih rana, bolje učvrstiti proteza itd.
LASERI U PARODONTOLOGIJI
Najmoderniji način na koji vam trajno rješavamo parodontološki problem bilo koje vrste je terapija laserom i kemijskim sredstvom koji uz termičku reakciju uništava sve bakterije i biofilm u parodontalnim džepovima.
Riječ je o specijalnim preparatima koje smo koristili i testirali 2 godine prije nego su se službeno pojavili na svjetskom tržištu. Rezultati su bili izvrsni, a same operacije gotovo 100% uspješne. Kako sada preparat nije više u istraživačkom segmentu i cijena mu je puno niža te je tako dostupniji svima. Trenutno vec 5 godina uspješno primjenjujemo tehnike kojima vrlo kvalitetno i dugotrajno pomažemo u Vašoj borbi sa paradontozom.