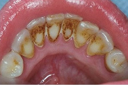
Zubni kamenac


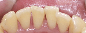
Ultrazvučno čišćenje zubnog kamenca
Stručno čišćenje zubnog kamenca ultrazvučnim uređajem preporučuje se obaviti svakih 6 (šest) mjeseci za sve ljude bez obzira na to imaju li nekakav problem ili ne!
Zubni kamenac potrebno je obavezno čistiti svakih 6 mjeseci. Tom mjerom se osim čišćenja zuba privremeno usporava tijek gingivitisa (upale zubnog mesa) prije paradontoze, sama paradontoza i povlaćenje zubnog mesa i ublažuje postojeće stanje u ustima.
Osim čišćenja kamenca preporuka je i opjeskariti zube kako bi se skinule naslage sa zuba i time smanjila mogućnost nastanka karijesa koji se može stvoriti ispod kamenca i zubnog plaka.
Zubni kamenacPjeskarenjePoliranje zuba

Zubni kamenac
Ultrazvučno čišćenje zubnog kamenca bez oštećenja cakline, ispuna i dentina (skidanje tvrdih naslaga uz zubno meso)
Cijena: 50 €

Pjeskarenje
Pjeskarenje zuba pjeskarom za zube
(skidanje mekih i srednje tvrdih naslaga od kave i cigareta)
Cijena: 50 €

Zubni kamenac + pjeskarenje + poliranje zuba
HYGIENIC TREATMAN USA (detaljan higijenski tretman po Američkim standardima): ultrazvučno čišćenje zubnog kamenca, pjeskarenje zuba pjeskarom za zube i dva poliranja zuba do visokog sjaja.
Cijena: 120 €